Estética Dental

Entre las técnicas enfocadas a resolver los problemas estéticos de los dientes se engloban una variedad de tratamientos de naturaleza muy diversa y, la mayoría de las veces, requieren la participación de varios especialistas. En su conjunto, el tratamiento estético trata de resolver los problemas de posición, forma y coloración de los dientes, así como las relaciones de los dientes de la arcada superior y la inferior.

Con frecuencia, los tratamientos estéticos van precedidos de una fase de tratamiento con ortodoncia o técnicas de cirugía plástica periodontal, que armonizarán las posiciones de los dientes y la línea de las encías.

Entre los tratamientos más demandados se encuentran las restauraciones estéticas de composite en dientes anteriores, las carillas y coronas de porcelana o las técnicas de blanqueamiento.

Es importante que los blanqueamientos dentales sean realizados siempre bajo la indicación y supervisión de un odontólogo, empleando los productos y técnicas que cumplan los requerimientos de seguridad para los tejidos dentales de acuerdo con la normativa vigente. Con las técnicas de blanqueamiento se consigue aclarar entre 2 y 3 tonos el color inicial y es necesario seguir los consejos del profesional para mantener el color conseguido el mayor tiempo posible, evitando el consumo de té, café, tabaco, etc.

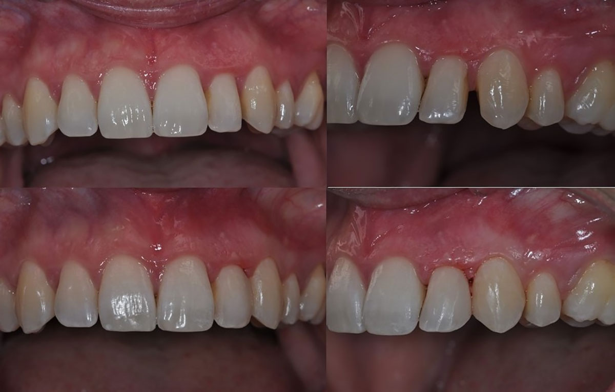
estética-dental-caso-1
Cierre de diastema con restauración estética de composite.
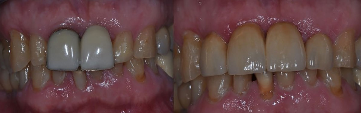
estética-dental-caso-2
Devolución de la armonía estética a los incisivos mediante la sustitución de un antiguo puente por otro de zirconio.