Periodoncia

La enfermedad periodontal es una enfermedad infecciosa causada por las bacterias patógenas de la placa dental. En su fase inicial se manifiesta como una inflamación de las encías, gingivitis, que suelen aparecer enrojecidas y sangrar con facilidad. Si la enfermedad no se trata en esa primera fase, la inflamación crónica dará lugar a una pérdida del hueso que rodea a las raíces de los dientes, periodontitis, pudiendo ocasionar movilidad dental e incluso la pérdida de dientes. 

El tratamiento periodontal adecuado, dependiendo de la fase en que se encuentre el paciente, detendrá el avance de la enfermedad pudiéndose aplicar también, en los casos favorables, técnicas regenerativas para mejorar los tejidos de soporte de los dientes.

Una vez completado el tratamiento comienza la fase de mantenimiento, en la que el paciente deberá aplicar las medidas y técnicas de higiene bucodental que le haya pautado el odontólogo, y acudir a las visitas de control periódico programadas por el profesional.

Periodoncia
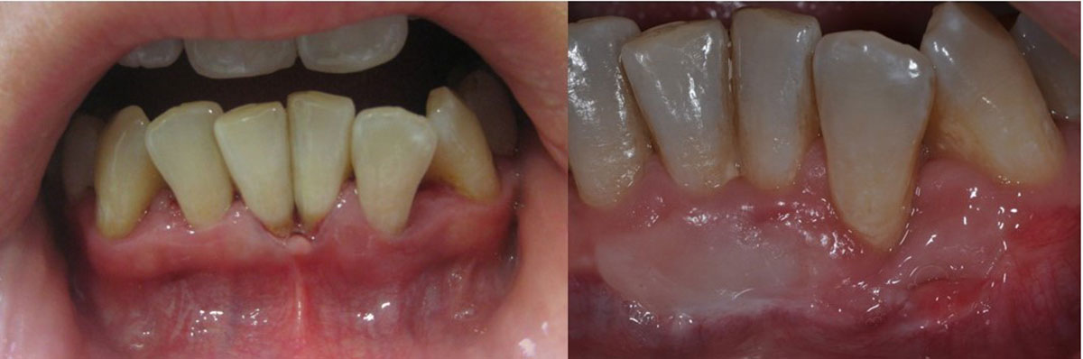
Cirugía plástica periodontal para subsanar el defecto de encía de los incisivos inferiores.