Ortodoncia

Se conocen con el nombre de malocluciones a las alteraciones de posición de los dientes que dan lugar a una mala relación entre las arcadas superior e inferior, ocasionando alteraciones funcionales y estéticas. La Ortodoncia permite corregir esos problemas de alineamiento y posición de los dientes mediante el uso de distintos tipos de aparatos.

El tratamiento ortodóncico comienza siempre con un estudio del paciente a través de radiografías, fotografías y modelos de escayola que reproducen la situación de las arcadas dentales. Estas pruebas permiten al especialista diagnosticar y planificar cada caso de forma individualizada, determinando el tipo de aparato que necesita cada paciente y el tiempo necesario para obtener los resultados deseados.

Entre los tipos de aparatos que se pueden utilizar disponemos de los tradicionales brackets metálicos, brackets cerámicos estéticos (de un color similar al de los dientes) y técnicas de ortodoncia invisible con alineadores transparentes.

Existen, además, unos aparatos de Ortopedia dentofacial para resolver problemas de crecimiento de los maxilares. Es muy importante diagnosticar a los niños en edad de crecimiento para poder tratar estas alteraciones de manera precoz y, evitar así, las alteraciones funcionales masticatorias y de estética facial que derivarían de ese desarrollo anómalo de los huesos.

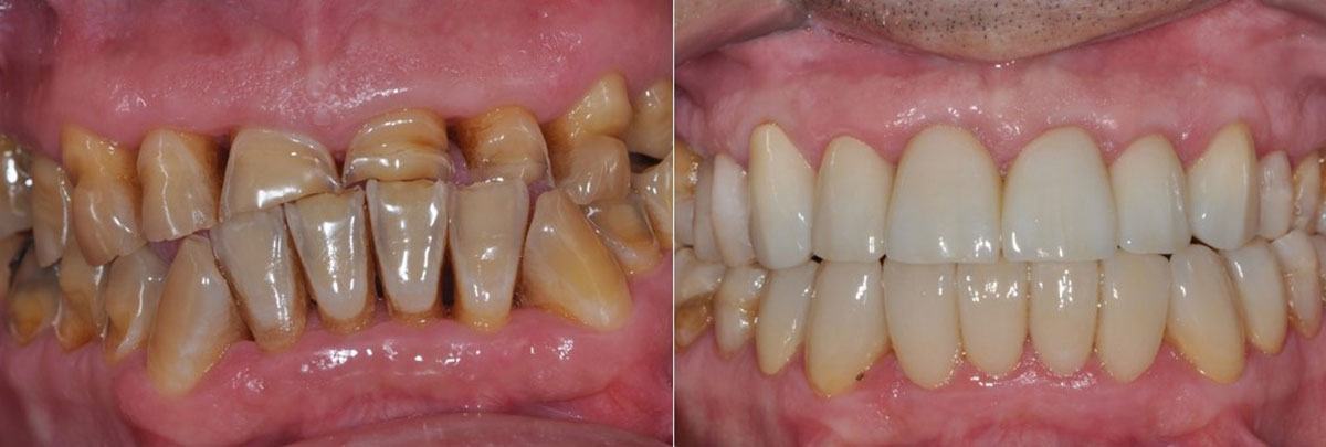
Además de la importancia de estos tratamientos en los niños, en los últimos años ha aumentado el número de pacientes adultos que deciden resolver los problemas estéticos de sus dientes con tratamientos ortodóncicos. En ocasiones se realizan tratamientos multidisciplinarios que comienzan con una fase de tratamiento mediante ortodoncia y finalizan con carillas de porcelana o implantes dentales dependiendo de las particularidades de cada caso.

ortodoncia-2
Tratamiento multidisciplinar con una fase de ortodoncia previa a la colocación de coronas y carillas de porcelana